指しゃぶり・いびき・お口ポカン

...それ全部、 の問題かも?

これらの症状、将来の健康に大きく影響を与えるかもしれません

  • 眠っている子どものイラスト

    口呼吸から
    鼻呼吸に

  • 笑顔の女の子のイラスト

    本来のお顔
    の形に!

  • OKサインをする男の子のイラスト

    癖を解消!

女の子の横顔イメージ

こどもの歯並び無料相談受付中

24時間受付可能!
WEB で予約
まずは気軽に
公式 LINE 友達追加
歯並びが心配.. そう思ったらまずは専門家へ 無料相談!!

お子さんのに気づけていますか?

指しゃぶりをする子どもの写真
眠っている子どもの写真

こんな症状、子供だから仕方ない
と思っていませんか??

  • ・お口ポカン ・指しゃぶり
  • ・口呼吸 ・いびき ・口臭
  • ・おねしょ ・姿勢が悪い

これらの症状、実は
お口の問題が
原因かもしれません

80% 以上のお子様が
歯並びで悩んでいます。

5人中4人の割合を示す円グラフ
お子様の80%
不正歯列・顎や顔の発育に
問題があります

5人中4人のお子さんが
歯列不正や顎の発育不全!?

両手を口元に添える女の子の写真

近年は食事のやわらか化や生活習慣の変化が影響し、口腔の
成長バランスに課題を抱えるお子さまが増えていると指摘されています。
やわらかい食事長時間の口呼吸など、
思い当たる習慣はありませんか。日常の積み重ねが、
顎の発育や歯並びに影響することがあります。

近年は食事のやわらか化や生活習慣の変化が
影響し、口腔の成長バランスに課題を抱える
お子さまが増えていると指摘されています。
やわらかい食事長時間の口呼吸
など、思い当たる習慣はありませんか。
日常の積み重ねが、顎の発育や歯並びに
影響することがあります。

そのままの状態で放置してしまうと...

  • 本を読む男の子のイラスト

    発音がはっきり
    しずらくなり話す自信
    に影響することも

    発音がはっきり
    しずらくなり
    話す自信に
    影響することも

  • 困った表情で勉強する男の子のイラスト

    集中しにくい、
    学びにくいと感じる
    場面が増えることも

    集中しにくい、
    学びにくい
    感じる場面が
    増えることも

  • いびきをかいて眠る子どものイラスト

    ぐっすり眠れない
    日が続き、成長や
    体調に響くことも

    ぐっすり眠れ
    ない日が続き、
    成長や体調に
    響くことも

  • 指を口元に当てる女の子のイラスト

    お顔立ちや歯並びの
    バランスに影響した
    た目が気になることも

    お顔立ちや歯並び
    のバランスに影響
    した見た目が気に
    なることも

  • 笑顔の子どものイラスト

    よく噛めないことで
    お腹の負担や体重管理
    が難しくなることも

    よく噛めないこ
    とでお腹の負担や
    体重管理が難し
    くなることも

成長は待ってくれません。
今日の一歩が、未来の笑顔に。
「様子見」より、まず「確認」
気づいた””が
いちばんのタイミングです

家族4人が並んで笑顔でいるイラスト

無料相談予約をする

専門スタッフがやさしくご案内

予防矯正で“”から
将来の負担を減らす
お子様の未来を考えた選択を。

子どもを優しく抱きしめている写真
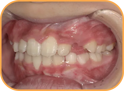
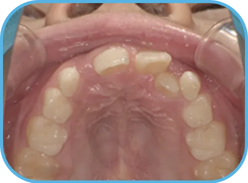
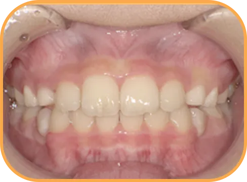
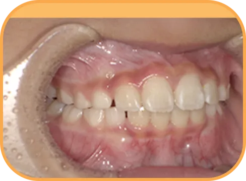
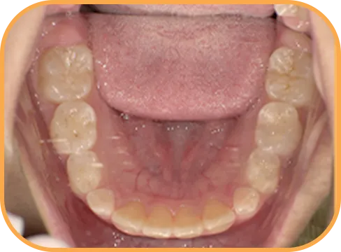
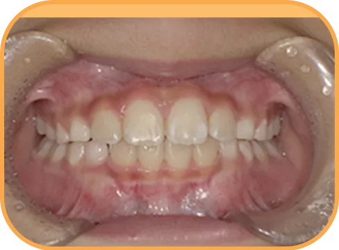
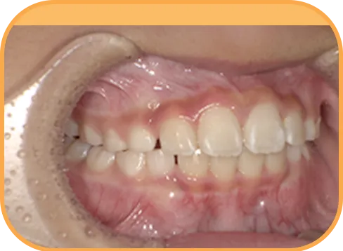
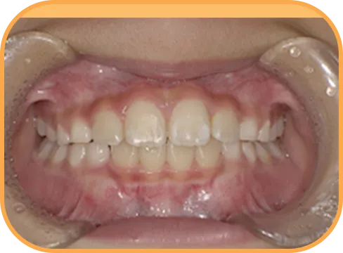
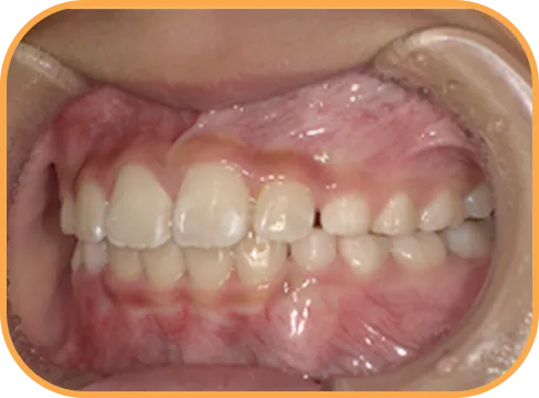
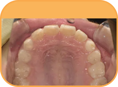
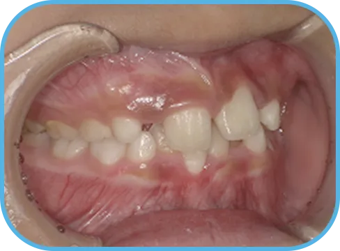
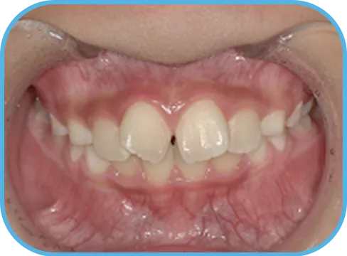
  • Before
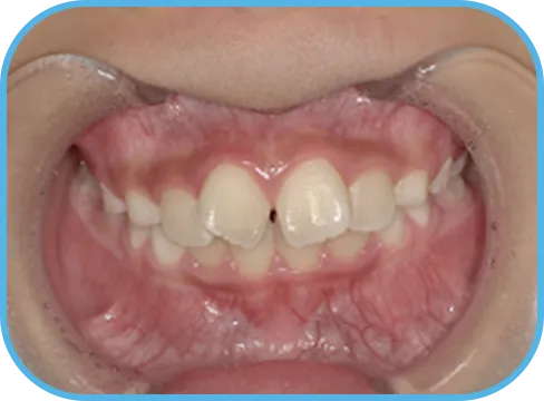
  • 正 面
    治療前正面からの歯の様子
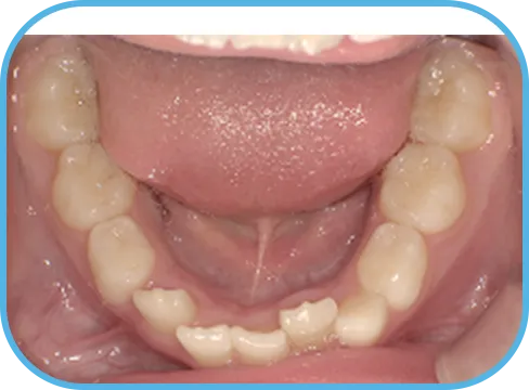
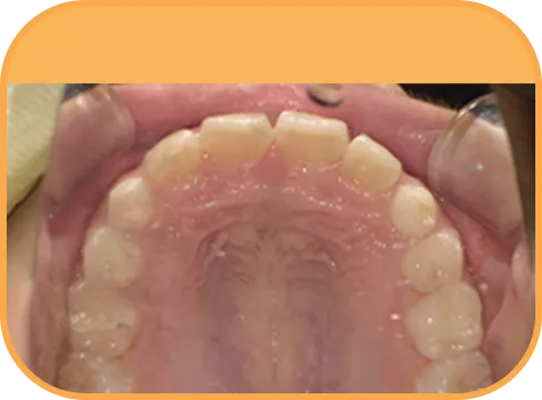
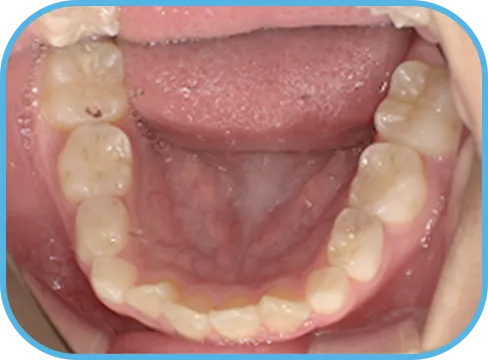
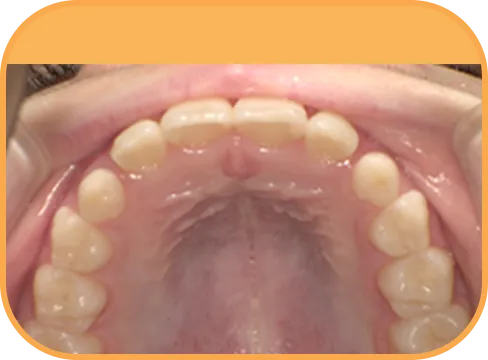
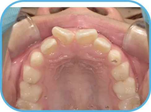
  • 上 顎
    治療前上顎からの歯の様子
  • 下 顎
    治療前下顎からの歯の様子
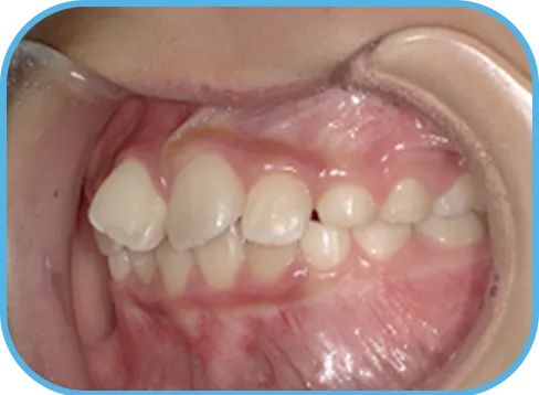
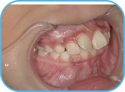
  • 右 側
    治療前右側からの歯の様子
  • 左 側
    治療前左側からの歯の様子
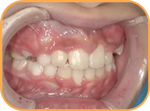
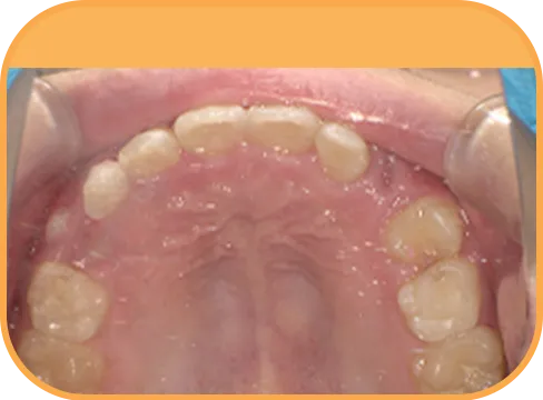
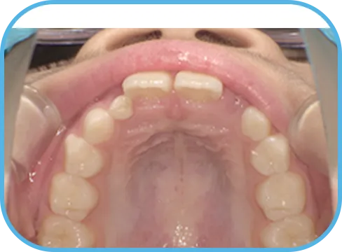
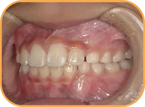
  • After
  • 正 面
    治療後正面からの歯の様子
  • 上 顎
    治療後上顎からの歯の様子
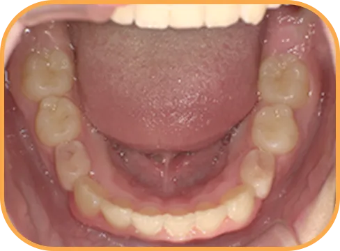
  • 下 顎
    治療後下顎からの歯の様子
  • 右 側
    治療後右側からの歯の様子
  • 左 側
    治療後左側からの歯の様子
主 訴
上の前歯がねじれている、ガタガタ
治療内容
インビザライン・ファースト
治療期間
8か月
治療費(税別)
450,000円+診断料50,000円
リスク・副作用
  • 親知らずの影響や加齢などによって、凸凹が生じる可能性があります。
  • 治療の初期段階では痛みや不快感が生じやすくなりますが、1週間前後で慣れます。
  • 顎の成長発育によって、噛み合わせや歯並びが変化する可能性があります。
  • 状況により当初予定した治療計画を変更する可能性があります。
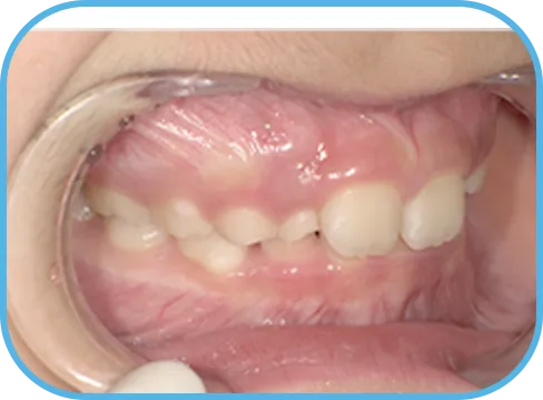
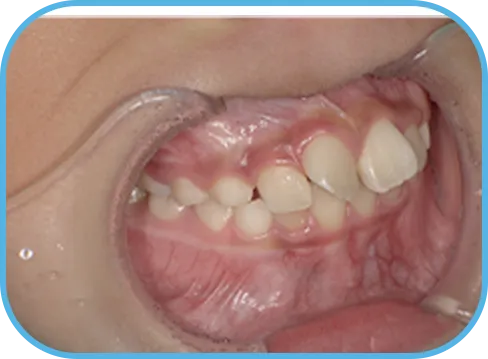
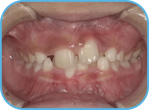
  • Before
  • 正 面
    治療前正面からの歯の様子
  • 上 顎
    治療前上顎からの歯の様子
  • 下 顎
    治療前下顎からの歯の様子
  • 右 側
    治療前右側からの歯の様子
  • 左 側
    治療前左側からの歯の様子
  • After
  • 正 面
    治療後正面からの歯の様子
  • 上 顎
    治療後上顎からの歯の様子
  • 下 顎
    治療後下顎からの歯の様子
  • 右 側
    治療後右側からの歯の様子
  • 左 側
    治療後左側からの歯の様子
主 訴
前歯ガタガタ、前歯が大きい
治療内容
インビザライン・ファースト
治療期間
7か月
治療費(税別)
450,000円+診断料5,000円
リスク・副作用
  • 親知らずの影響や加齢などによって、凸凹が生じる可能性があります。
  • 治療の初期段階では痛みや不快感が生じやすくなりますが、1週間前後で慣れます。
  • 顎の成長発育によって、噛み合わせや歯並びが変化する可能性があります。
  • 状況により当初予定した治療計画を変更する可能性があります。
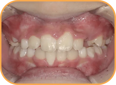
  • Before
  • 正 面
    治療前正面からの歯の様子
  • 上 顎
    治療前上顎からの歯の様子
  • 下 顎
    治療前下顎からの歯の様子
  • 右 側
    治療前右側からの歯の様子
  • 左 側
    治療前左側からの歯の様子
  • After
  • 正 面
    治療後正面からの歯の様子
  • 上 顎
    治療後上顎からの歯の様子
  • 下 顎
    治療後下顎からの歯の様子
  • 右 側
    治療後右側からの歯の様子
  • 左 側
    治療後左側からの歯の様子
主 訴
前歯がでている、噛み合わせが深い
治療内容
インビザライン・ファースト
治療期間
10か月
治療費(税別)
450,000円+診断料30,000円
リスク・副作用
  • 親知らずの影響や加齢などによって、凸凹が生じる可能性があります。
  • 治療の初期段階では痛みや不快感が生じやすくなりますが、1週間前後で慣れます。
  • 顎の成長発育によって、噛み合わせや歯並びが変化する可能性があります。
  • 状況により当初予定した治療計画を変更する可能性があります。
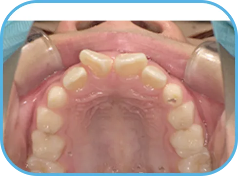
  • Before
  • 正 面
    治療前正面からの歯の様子
  • 上 顎
    治療前上顎からの歯の様子
  • 下 顎
    治療前下顎からの歯の様子
  • 右 側
    治療前右側からの歯の様子
  • 左 側
    治療前左側からの歯の様子
  • After
  • 正 面
    治療後正面からの歯の様子
  • 上 顎
    治療後上顎からの歯の様子
  • 下 顎
    治療後下顎からの歯の様子
  • 右 側
    治療後右側からの歯の様子
  • 左 側
    治療後左側からの歯の様子
主 訴
前歯が開いている
治療内容
インビザライン・ファースト
治療期間
6か月
治療費(税別)
450,000円+診断料30,000円
リスク・副作用
  • 親知らずの影響や加齢などによって、凸凹が生じる可能性があります。
  • 治療の初期段階では痛みや不快感が生じやすくなりますが、1週間前後で慣れます。
  • 顎の成長発育によって、噛み合わせや歯並びが変化する可能性があります。
  • 状況により当初予定した治療計画を変更する可能性があります。
横にスクロールできます 横にスクロールできます


を育てる 小児矯正

  • ご飯を食べる子どもの写真

    よく噛める習慣へ

    消化のサポートとなり、
    栄養を取り入れやすくなる可能性があります。

  • 両親と話している子どもの写真

    発音がクリアに

    言葉が伝わりやすくなり、
    コミュニケーションに自信が持てることがあります。

  • 窓辺で外を眺める子どもの写真

    呼吸が整いやすい

    鼻呼吸の習慣化に役立ち、
    体調管理にプラスに働く場合があります。

  • 手をかけている子どもの写真

    顎の発育を後押し

    顔立ちのバランスに配慮しやすくなり、
    自己肯定感の向上につながることがあります。

  • 黒板に文字を書く黄色い服の子どもの写真

    集中のしやすさをサポート

    日中の学びやすさに良い影響が期待できます。

  • ベッドに横になり、ぬいぐるみを抱いている子どもの写真

    睡眠の質に配慮

    いびき等の軽減が期待でき、
    休息の満足感が高まる場合があります。

選べる小児矯正でお悩みを解決!
お子様の“ ”に合う方法を

選べる小児矯正で
お悩みを解決!
お子様の“ ”に合う方法を

  • プレオルソ

    プレオルソの写真
    こんなお悩みに
    • お口ポカン/口呼吸
    • 前歯の突出感(出っ歯傾向)
    • 受け口の兆候
    • お口ポカン/口呼吸
    • 前歯の突出感(出っ歯傾向)/受け口の兆候
    対象目安
    小学校低学年〜が導入しやすい
    ポイント
    • やわらかい装置で口唇の閉じる力・
      舌の位置・
      嚥下をサポート
    • MFT(口腔筋機能トレーニング)
      を併用して
      “良い癖”を育てる
    • 取り外し可/生活に馴染ませやすい
    向いているタイプ
    装置の練習段階から始めたい、
    生活習慣の見直しも一緒に進めたい
    注意・リスク
    装着時間・トレーニングの取り組みに
    よって効果に個人差があります
  • インビザライン・ファースト

    インビザライン
    ファースト

    インビザライン・ファーストの写真
    こんなお悩みに
    • 全体的な歯並びの乱れを早めに整えたい
    • 見た目も機能も両立したい
    対象目安
    混合歯列期(6〜10歳)
    ポイント
    • 透明で目立ちにくく、デジタル計画
      で段階的に
      全体を設計
    • MFT併用で舌位・鼻呼吸などの
      機能面もサポート
    • 装着・交換スケジュールが
      “見える化”しやすい
    向いているタイプ
    装着時間を自己管理できる、
    通院と家庭管理を両立できる
    注意・リスク
    装着時間が不足すると計画通りに進まない
    場合があります/適応は検査後に判断

結局どっちがいいの?
予防矯正比較早見表

プレオルソ インビザライン
・ファースト
主訴から
選ぶ
癖を中心に
直したい
(口呼吸・お口ポカン
・舌位)
全体の並びと
見た目も重視
年齢

協力度
低学年の導入に◎ 6-10歳で
計画的に
生活との
相性
”習慣を育てる”
入り口
”計画の見える化”
で管理
うちの子にはどっちがいいか考えている女性

成長に合わせて進む!
小児矯正の流れ

  1. Step1

    無料診断(現状チェック)

    歯科医師がレントゲン画像を指しながら説明している様子
    内容
    お口の写真・かみ合わせの簡易確認、
    気になる症状のヒアリング
    お伝え
    すること
    対象年齢や装置の有無、費用の目安、
    来院ペース
    ご用意
    保険証・日常の様子
    (口呼吸・睡眠・食事)
    のメモがあるとスムーズ
  2. Step2

    精密検査(より詳しく把握)

    歯科用レントゲン撮影機器の写真
    内容
    口腔内スキャン・写真・必要に
    応じてレントゲン等
    目的
    顎の成長段階・歯の位置・舌位や
    呼吸の傾向を可視化
    注意
    放射線検査の要否は年齢・状況
    により判断します
  3. Step3

    診断と計画説明
    (ご家庭サポートも共有)

    歯科医院で診察を受ける子どもの写真
    内容
    適応装置(プレオルソ/インビザライン・
    ファースト等)とMFTの計画をご提案
    資料
    期間・費用・通院頻度・想定リスク
    (違和感/痛み/後戻り等)を書面で明示
    家庭で
    出来ること
    姿勢・食習慣・鼻呼吸の練習リストを
    お渡し
  4. Step4

    装置スタート&トレーニング開始

    歯科医院で診察を受ける子どもの写真
    装置
    装置練習・取り扱い・お手入れ方法の
    レクチャー
    MFT
    舌の位置/唇を閉じる力/嚥下の練習を
    動画・シールカレンダーで見える化
    ポイント
    装着時間とトレーニングの習慣化が
    効果を左右します
  5. Step5

    月1回の定期チェック
    (成長に合わせて微調整)

    歯科治療用の器具の写真
    内容
    装置の適合調整、装着時間の確認、
    MFTの進捗レビュー
    必要に
    応じて
    計画のアップデート/装置交換/
    家庭課題の見直し
    目標
    噛む・話す・眠るの”できる”を
    少しずつ増やす

最適な方法を、
一緒に選びましょう
プレオルソ
インビザライン・ファーストは
検査後にご提案

家族4人が並んで笑顔でいるイラスト

無料相談予約をする

専門スタッフがやさしくご案内

料金について

  • プレオルソを装着しようとする子どもの様子
    プレオルソ
    66000(税込)
    • 相談料
      無料

    • クレジットカード

      電子マネー

      利用可能

  • インビザライン・ファーストを装着した子どもの歯の写真
    インビザライン・
    ファースト
    495000(税込)
    • 相談料
      無料

    • クレジットカード

      電子マネー

      利用可能

費用は“わかりやすく”
まずは診断後に
“お子さまのケース”でご提案

家族4人が並んで笑顔でいるイラスト

無料相談予約をする

専門スタッフがやさしくご案内
24時間受付可能!
WEB で予約
まずは気軽に
公式 LINE 友達追加
24時間受付可能!
WEB で予約
まずは気軽に
公式 LINE 友達追加