成人矯正について
当院の成人矯正

かかりつけ医として
歯のメンテナンスから治療まで対応
当院では、豊富な知識と経験のある日本矯正歯科学会所属の医師が在籍しています。さらに総合歯科医院のため、当院で矯正治療からむし歯の治療などの一般歯科治療も全て対応可能です。矯正の定期通院中に歯のメンテナンスも行え、無料のクリーニングを提供しています。矯正治療後もかかりつけ医として、当院で生涯にわたり、患者さまの口腔内の健康をサポートします。

充実した治療環境で精密な診断
一人ひとりのお悩みに寄り添う歯科治療を提供するためには、質の高い検査・診断に基づき、精密な治療計画を立てることが必要です。当院では歯科用CTやiTeroといった先端設備を導入してよりよい治療が行える治療環境の充実に努めています。どのようなケースに対しても、より精密な診断・治療を行える体制を整えています。

無料で受けられる
丁寧なカウンセリングの実施
当院は、矯正を検討している方や歯並びの疑問がある方に対して、無料相談を実施しています。
患者さまの症状やご要望を伺い、知識と経験豊富なスタッフが質問に対して丁寧に対応いたします。歯並びとご希望を考慮した治療計画をご提案しますので、不安をしっかりと解消して治療をスタートしましょう。
矯正を始められる方には
LINEで無料相談を受付いたします
当院では、矯正装置がうまくはめられない、なんだか違和感があるといった方が気軽にお問い合わせできるようLINEでの相談も受付ています。
当院の成人矯正の装置
豊富な矯正装置をご用意し
幅広い症例に対応します

セラミックブラケット矯正
セラミックのブラケットを使用するワイヤー矯正です。歯の色に近い白や透明のセラミックを使用していますので、金属のブラケットよりも目立ちにくく、矯正治療中の見た目も分かりにくい特徴があります。クリッピーは開閉式のクリップ状の「ふた」がワイヤーを留めており、細い金属線やゴムを使用しないので、歯みがきがしやすくなり、衛生的にも優れたブラケットです。

インビザライン
透明で患者さまにぴったり合ったマウスピースを使用する矯正方法で、形の違うマウスピースに段階的に交換して歯を動かします。透明で薄いため、装着時周りに気づかれることが少ないのが特徴です。また、自由に取り外しが可能なため、食事や歯みがきも今まで通り行えるので、違和感がなく、負担が少ない治療法です。
ライト 部分矯正(軽度)
モデレート 部分矯正(中等度)
コンプリヘンシブ 全顎矯正
必要に応じて
インプラントアンカーを
無料で行います

顎の骨に小さなインプラントのねじを埋め込み、そこを固定源にし、ワイヤーで歯を動かします。そのため、従来は難しかった奥歯を後ろに下げることが可能になり、抜歯をしてスペースを確保していた症例も、抜歯をしないで矯正治療ができるようになりました。
治療の流れ

- 1 矯正無料相談
- まず院長による事前相談として矯正治療の概要をご説明させていただきます。矯正治療に対する患者さまのお悩みや不安など、お気軽にご相談ください。相談時には当日のお口チェックを兼ねた簡易検査(パノラマ、口腔内写真)をおこなう場合がございます。

- 2 簡易診断
- 矯正治療をご希望される患者さまに対し、矯正担当医による簡易診断をさせていただきます。患者さまの口腔内データを確認し、お口の状態を再チェックいたします。

- 3 精密検査
- 矯正治療前の精密検査として、パノラマ、セファロ、口腔内写真、顔貌写真、お口の中のスキャンを取ります。症例によっては歯科用CTでの撮影もおこないます。患者さま一人ひとりに合った、よりよい治療計画にするため、さまざまなデータを取得し、活用いたします。

- 4 診断・治療計画
- 精密検査で得た多くの口腔内データをもとに、歯をどのように移動させていくかシミュレーションを重ねます。歯や歯根、顎の骨などにできる限り負担が掛からず、かつ効率的に歯を移動させるための治療計画を作成します。

- 5 治療開始
- 患者さまが必ず納得されてから、治療をスタートします。治療計画に基づき、矯正器具を使用して歯を移動させていきます。患者さまの歯並びによって個人差はありますが、半年~3年ほどで治療が完了します。治療期間中は定期的に診察し、歯の移動状態に応じて細かく調整していきます。

- 6 保定期間
- 矯正治療が完了して歯並びが整った直後は、器具を外すと歯は元の歯並びに後戻りしてしまいます。治療後の歯並びを維持するためには、リテーナーと呼ばれる保定器具を、歯を移動した期間と同じくらい装着する必要があります。

- 7 定期メンテナンス
- 矯正治療が完了した後も、しばらくの間は定期的に診察を受けて、歯並びの確認をおこなうことが望ましいとされています。歯の後戻りの傾向を見つつ、お口の健康を保つために、担当医と相談しながら適切な矯正治療後の生活を送るようにしましょう。
| 治療期間 | 治療回数 | |
| セラミックブラケット矯正 | 1〜3年程度 | 月1回程度 |
| インビザライン矯正 | 1〜3年程度 | 2ヶ月に1回程度 |
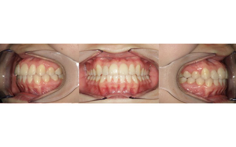
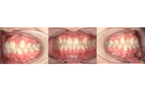
症例
Before
After
| 施術内容 | 54歳女性 主訴:顎がガクガクする、前歯噛めない 詳細:インビザラインフルによる歯並びの改善 |
|---|---|
| 治療期間 | 1年4ヶ月 |
| 費用 | インビザフル880,000円+検査費27,500円 |
| リスク・副作用 | ・治療の初期段階では痛みや不快感が生じやすくなりますが、1週間前後で慣れます。 ・歯の動き方には個人差があるため、予想された治療期間より長くなる場合があります。 ・装置の使用状況や通院頻度など、患者さまの協力が不可欠で治療の結果や期間に影響します。 |
Before
After
| 施術内容 | 表側ワイヤー矯正 |
|---|---|
| 治療期間 | 8ヵ月 |
| 費用 | 770,000円+検査・診断料55,000円 |
| リスク・副作用 | ・治療の初期段階では痛みや不快感が生じやすくなりますが、1週間前後で慣れます。 ・歯の動き方には個人差があるため、予想された治療期間より長くなる場合があります。 ・装置の使用状況や通院頻度など、患者さまの協力が不可欠で治療の結果や期間に影響します。 |
費用
料金表
| 相談料 | 無料 |
|---|---|
| 検査・診断料 | +55,000円 |
| セラミックブラケット(部分) | 片顎330,000円 両顎550,000円 |
| セラミックブラケット(フル) | 片顎440,000円 両顎715,000円 |
| エンパワー2ブラケット(フル) | 片顎495,000円 両顎770,000円 |
| インビザライン(ライト) | 片顎440,000円 両顎605,000円 |
| インビザライン(モデレート) | 片顎495,000円 両顎660,000円 |
| インビザライン(フル) | 両顎880,000円 |
| MTM | 77,000円~132,000円 |
| 調整料 | 5,500円 |
| 抜歯症例 | 装置+55,000円 |
※表示金額は全て税込みです。
注意点・リスク・副作用
リスク・副作用について
・装置の使用状況や定期的な通院など、患者さまの協力程度で治療の結果や期間に影響します。
・親知らずの影響や加齢などによって、凸凹が生じる可能性があります。
・治療の初期段階では痛みや不快感が生じやすくなりますが、1週間前後で慣れます。
・顎の成長発育によって、噛み合わせや歯並びが変化する可能性があります。
・状況により当初予定した治療計画を変更する可能性があります。
よくあるご質問
矯正治療はいつから始めるべきですか?
基本的には永久歯が生えそろった後、歯並びや噛み合わせの問題がある場合に治療を開始します。しかし、6歳~12歳までの永久歯が生えそろう前に矯正を始めることもできます。また、年齢を重ねるにつれて歯が動きにくくなってしまいますが、何歳になっても治療を受けることができます。
矯正治療は痛いですか?
矯正治療中は歯が動くために一時的な不快感や圧迫感が生じ、人によっては痛みを感じる場合があります。調整直後や矯正装置を新しく装着した際には違和感を感じることがありますが、慣れていくと違和感や痛み軽減されます。ある程度時間が経っても痛みが治らない場合は、歯科医師に相談しましょう。
矯正治療の期間はどのくらいですか?
個人の状況によって異なりますが、一般的には1年から2年半程度が必要です。重度の歯並びの場合や、噛み合わせの問題が複雑な場合はそれ以上の期間が必要となることもあります。
矯正治療中は普段の生活に影響がありますか?
一部の食べ物や飲み物の摂取制限や、ブラッシングや歯のケアに手間がかかることがありますが、基本的には日常生活に大きな影響はありません。スポーツや楽器の演奏などの活動も続けることができますが、安全を確保するために注意が必要になる場合があります。
矯正治療中は虫歯になりやすいですか?
矯正治療中は、ブラケットやワイヤーの隙間に食べカスやプラークがたまりやすくなり、ブラッシングが難しくなります。そのため、虫歯になりやすい傾向はあります。しかし、適切に歯磨きやフロス使い、定期的な歯科検診によって予防することができます。インビザライン矯正の場合は、食後の歯磨きをしっかり行い、虫歯予防を心がけましょう。


