小児矯正について
当院の小児矯正

実績が豊富な
日本矯正歯科学会所属医師による
矯正治療
当院の矯正治療は日本矯正歯科学会所属医師でマウスピース矯正「インビザライン」の認定医が行います。インビザラインだけでなく、ワイヤー矯正やプレオルソ、MTMなどの矯正方法も対応しており、見た目だけでなく、噛み合わせの機能も大切にした矯正治療を行います。

精密検査・診断で
患者さまに合わせた
オーダーメイドの治療を計画します
矯正治療では、患者さま一人ひとりの歯並びやお口の状態によって、オーダーメイドの治療計画を設定する必要があります。そのためには、事前に丁寧な精密検査と診断をおこなうことが大切です。当院では患者さまの状態を正確に把握するために、パノラマ、セファロ、口腔内写真、顔貌写真、口腔内模型などの検査を導入しています。

「原因」にアプローチする
「予防矯正」
予防矯正では、歯並びが悪くなる原因の「生活習慣・癖」を改善することでお子さまの正しい発育を促し、本来あるべき位置に歯を誘導してあげることが目的です。
より早い時期に歯並びが悪くなる原因を取り除き、顎の成長を促進するトレーニングを行うことできれいな歯並びを作ります。
お子さまに対して負担が少なく抜歯のリスクを軽減する治療方法です。

お口のトレーニング
MFT(口腔筋機能療法)を導入
MFT(口腔筋機能療法)とは、歯並びに関係している舌、唇、頬の筋肉の働きを整えることを目的としたトレーニングです。お子さまの歯並びは舌の癖や口呼吸などで影響を受けます。筋肉のトレーニングを行うことで正しい歯並びへの成長を促して、きれいに整えた歯並びが後戻りしてしまうのを防止します。
お口のトレーニングによる
改善ポイント

口呼吸の改善
鼻呼吸へ改善することで舌を正しい位置へ誘導します

姿勢の改善
姿勢を正すことで、身体の歪みを改善し、正しい発育へ促します

悪癖の改善
指しゃぶりや頬つえなどの癖を改善して正しい筋肉の発達へ促します

小児矯正に関する無料相談実施
小児矯正をご検討されている方を対象に無料相談を実施しています。お子さまの矯正タイミングは一人ひとり違います。よりよい時期に矯正が開始できるよう、まずはお子さまのお口の様子を診察してお話させていただきます。また、丁寧にカウンセリングを行い、矯正治療について説明しますので、気になることはお気軽にご相談ください。
矯正を始められる方には
LINEで無料相談を受付いたします
当院では、矯正装置がうまくはめられない、なんだか違和感があるといった方が気軽にお問い合わせできるようLINEでの相談も受付ています。
当院の小児矯正装置
お子さまの年齢や歯並びに合った
幅広い矯正方法をご提案しています

拡大床
歯並びが悪いお子さまは顎が小さく、歯が並ぶスペースが無い場合が多いので、矯正器具を用いて顎を広げ、歯が生えてくるスペースを確保することを床矯正といいます。そのため、抜歯をする可能性を軽減でき、顎の成長している時期(6歳~8歳)にだけ選択できる治療法なので、お子さまの歯並びが気になる方はぜひお気軽に当院までご相談ください。

プレオルソ
歯並びが悪くなる原因の筋肉のバランスを根本から整えることを目的にしている装置で、取り外しが可能な機能的マウスピース型矯正装置です。4歳~8歳のお子さまが適しています。日中1~2時間と就寝時の短時間の装着と柔らかい素材で、装着の痛みが少なくなります。一般的な矯正装置より費用が抑えられるため、始めやすいのが特徴です。

インビザラインファースト
インビザラインファーストは、乳歯と永久歯の生え変わりの時期にも対応している透明のマウスピースを装着する矯正方法です。世界で多くの実績があるインビザラインシリーズの小児矯正版です。上の前歯が生える時期(8歳~10歳程度)より使用可能であり、透明のマウスピースなので目立たず、取り外しができるので、食事や歯みがきを今まで通り行えます。
Ⅰ期治療とⅡ期治療について
子どもの矯正は、顎の成長を利用しながら歯並びを整えるⅠ期治療、生えそろった永久歯を整えるⅡ期治療の2つに大きく分けて行います。お子さまの歯が生えるタイミングで、多少時期が変わる場合があります。
第Ⅰ期治療 6歳前後~11歳前後に開始
骨の成長を促して上下の顎のバランスを整え、永久歯が生えてくるスペースを確保します。そして、永久歯が正しい位置に生えるように土台となる上顎・下顎の成長を促します。口腔周囲筋のトレーニングを行い、歯並びが整う環境づくりを行っていきます。
第Ⅱ期治療 第Ⅰ期治療後(12歳前後)に開始
永久歯が生え揃った時期を「永久歯列期」といいます。第Ⅰ期から矯正治療を行っている場合は仕上げの段階となります。整えてきた土台(上顎・下顎)に矯正装置を使用して、歯列を整え、美しい歯並びにするために永久歯を正しい位置へと移動させていきます。
矯正治療の流れ

- 1 矯正無料相談
- 矯正治療に関するお悩みをお持ちの方は無料相談をご利用ください。治療に関する疑問やご希望を伺い、丁寧にわかりやすく説明します。カウンセリングだけでなく、パノラマレントゲン撮影や口腔内の検査を行い、お口の状態を一緒に確認します。

- 2 精密検査
- 精密検査ではセファロレントゲンでの撮影や、光化学3Dレントゲンなど歯型の作製や、治療計画を立てる上で必要なデータを収集します。
また、口腔内の検査をして、むし歯がないかチェックします。
むし歯があった場合には先に治療を行います。

- 3 診断・治療計画
- 精密検査の結果をもとに、患者さまのご希望や歯並びを考慮しながら治療計画を立案します。また、費用のご説明もしますので、気になることやご不明点がありましたらお気軽にご相談ください。

- 4 治療開始
- 治療計画にご納得いただけましたら治療を開始します。
お子さまの成長に合わせた矯正装置で治療をして、定期的に通院していただき、経過観察とメンテナンスを行います。

- 5 保定期間
- 歯並びが整ったばかりの時期は、歯が後戻りをしようとするので、歯の動きを安定させるための保定装置(リテーナー)を装着します。期間は患者さまによって異なりますが、歯を動かすのにかかった期間と同程度です。

- 6 定期メンテナンス
- 保定期間も終了し、歯並びがきれいになった後は、経過観察と予防のために定期メンテナンスをおすすめしています。
また、お口の健康を保つために、定期メンテナンスのクリーニングをして、噛み合わせのバランスも問題ないか確認します。
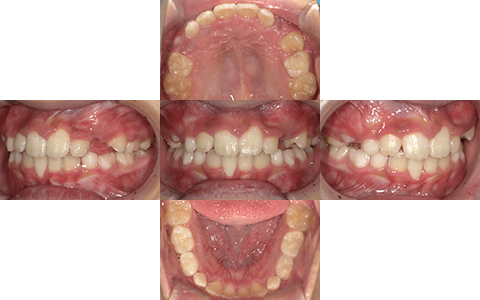
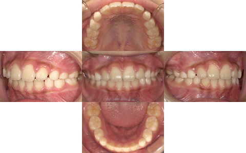
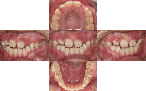
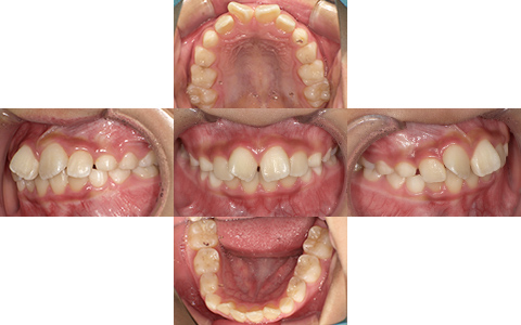
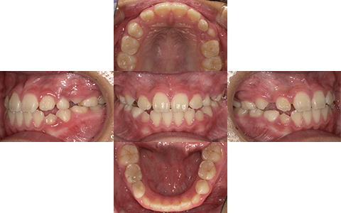
症例
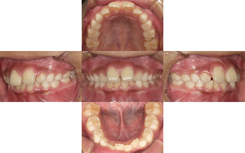
Before
After
| 施術内容 | 9歳女の子 主訴:上の前歯が捻じれてる、ガタガタ 詳細:インビザラインファーストによる歯並びの改善 |
|---|---|
| 治療期間 | 8ヶ月 |
| 費用 | 440,000円(税込)+診断料33,000円(税込) |
| リスク・副作用 | ・親知らずの影響や加齢などによって、凸凹が生じる可能性があります。 ・治療の初期段階では痛みや不快感が生じやすくなりますが、1週間前後で慣れます。 ・顎の成長発育によって、噛み合わせや歯並びが変化する可能性があります。 ・状況により当初予定した治療計画を変更する可能性があります。 |
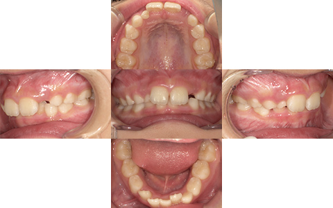
Before
After
| 施術内容 | 9歳男の子 主訴:上下の前歯のがたつき 詳細:インビザラインファーストによる歯並びの改善 |
|---|---|
| 治療期間 | 7ヶ月 |
| 費用 | 440,000円(税込)+診断料33,000円(税込) |
| リスク・副作用 | ・親知らずの影響や加齢などによって、凸凹が生じる可能性があります。 ・治療の初期段階では痛みや不快感が生じやすくなりますが、1週間前後で慣れます。 ・顎の成長発育によって、噛み合わせや歯並びが変化する可能性があります。 ・状況により当初予定した治療計画を変更する可能性があります。 |
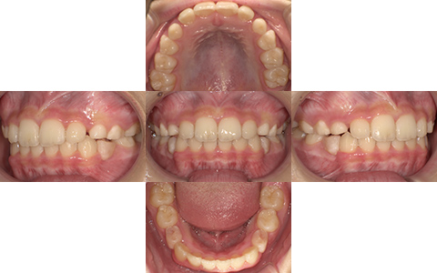
Before
After
| 施術内容 | 8歳女の子 主訴:前歯のすきっ歯、出っ歯 詳細:インビザラインファーストによる歯並びの改善 |
|---|---|
| 治療期間 | 7ヶ月 |
| 費用 | 440,000円(税込)+診断料33,000円(税込) |
| リスク・副作用 | ・親知らずの影響や加齢などによって、凸凹が生じる可能性があります。 ・治療の初期段階では痛みや不快感が生じやすくなりますが、1週間前後で慣れます。 ・顎の成長発育によって、噛み合わせや歯並びが変化する可能性があります。 ・状況により当初予定した治療計画を変更する可能性があります。 |
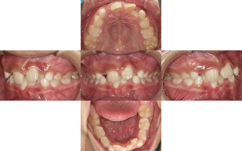
Before
After
| 施術内容 | 9歳女の子 主訴:前歯が開いてる 詳細:インビザラインファーストによる歯並びの改善 |
|---|---|
| 治療期間 | 10ヶ月 |
| 費用 | 440,000円(税込)+診断料33,000円(税込) |
| リスク・副作用 | ・親知らずの影響や加齢などによって、凸凹が生じる可能性があります。 ・治療の初期段階では痛みや不快感が生じやすくなりますが、1週間前後で慣れます。 ・顎の成長発育によって、噛み合わせや歯並びが変化する可能性があります。 ・状況により当初予定した治療計画を変更する可能性があります。 |
Before
After
| 施術内容 | 8歳女の子 主訴:前歯がでている、噛み合わせが深い 詳細:インビザラインファーストによる歯並びの改善 |
|---|---|
| 治療期間 | 6ヶ月 |
| 費用 | 440,000円(税込)+診断料33,000円(税込) |
| リスク・副作用 | ・親知らずの影響や加齢などによって、凸凹が生じる可能性があります。 ・治療の初期段階では痛みや不快感が生じやすくなりますが、1週間前後で慣れます。 ・顎の成長発育によって、噛み合わせや歯並びが変化する可能性があります。 ・状況により当初予定した治療計画を変更する可能性があります。 |
費用
料金表
| 相談料 | 無料 |
|---|---|
| 検査・診断料 | +33,000円 |
| プレオルソ | 66,000円 |
| 拡大床矯正 | 拡大床440,000円 Ⅱ期治療440,000円 |
| マウスピース矯正(インビザライン・ファースト) | 495,000円 Ⅱ期治療 マウスピース矯正の場合(ブラケット矯正も可)495,000円 |
| 調整料(筋機能トレーニング含む) | 5,500円/回 |
※表示金額は全て税込みです。
お支払方法
北名古屋みらい歯科・矯正歯科では、
下記のお支払方法が可能です。

現金
現金でのお支払い

クレジットカード
※自費診療のみ
VISA/JCB/
Mastercard/など

デンタルローン
※自費診療のみ

電子マネー
※自費診療のみ
交通系/QUICPay
医療費控除について
1月1日から12月31日までの1年間に支払った医療費が10万円以上の場合、税務署に確定申告をすることで医療費控除が受けられます。
所得税が還付されたり、住民税が軽減されたりする可能性がありますので、歯科医院で支払った際の領収書、通院でかかった交通費などの領収書は、大切に保管するようにしましょう。
詳しくは下記国税庁の
ホームページをご覧ください
注意点・リスク・副作用
リスク・副作用について
・装置の使用状況や定期的な通院など、患者さまの協力程度で治療の結果や期間に影響します。
・親知らずの影響や加齢などによって、凸凹が生じる可能性があります。
・治療の初期段階では痛みや不快感が生じやすくなりますが、1週間前後で慣れます。
・顎の成長発育によって、噛み合わせや歯並びが変化する可能性があります。
・状況により当初予定した治療計画を変更する可能性があります。



